Kiefergelenksuntersuchung

Prophylaxe

Die professionelle Zahnreinigung ist die perfekte Ergänzung ihrer eigenen Mundhygiene zur:


_Vermeidung von Zahnfleischentzündung (Gingivitis)!

_Vorbeugung von Zahnfleischentzündungen an Implantaten (Periimplantitis und Mucositis)

_Vorbeugung von Zwischenraumkaries!



Zur PZR gehören:


_Sanfte Entfernung von harten und weichen Belägen!

_Schonende Eliminierung von Verfärbungen!

_Politur der Zähne!

_Individuelle Aufklärung und Anleitung.



Wer braucht eine PZR?


Jeder Mensch fühlt sich gut mit strahlenden Zähnen!


_Schwangere Frauen

_Ältere Menschen mit oder ohne Zahnersatz

_Kinder und Jugendliche mit Spange 

_Patienten mit Zahnimplantaten

_Patienten mit eingeschränkter Fähigkeit zur Mundhygiene

Um eine Karies zu behandeln, bedarf es einer Füllungstherapie.


Eine optimale Versorgung bietet die Kompositfüllung.

Diese wird in Mehrschicht-Technik verarbeitet, wodurch eine sehr dichte und bruchresistente Restauration entsteht.

Selbst stark zerstörte Zähne lassen sich wieder perfekt und langfristig aufbauen!



Ein weiterer Vorteil liegt in der individuellen Farbgebung mittels eines Mehrfarben - Systems.


Weitere Anwendungsgebiete:

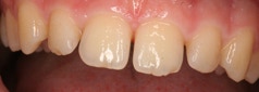
Umformung von zu kleinen Schneidezähnen -

vorher

nachher

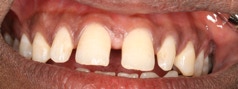
Lückenschluss nach Kieferorthöpädischer Behandlung (Spange)

vorher

nachher

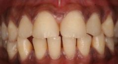
Umformung bei lückig stehender Oberkieferfront

vorher

nachher

Die Parodontitis ist eine Entzündung des Zahnhalteapparates, auch Parodontium genannt.


Diese verursacht Knochenabbau, Bildung von Zahnfleischtaschen und Zahnlockerung bis hin zum Verlust eines oder mehrerer Zähne!


Hauptursache: Bakterien in der Mundhöhle.

Risikofaktoren: Rauchen, Diabetes Mellitus, Stress



Vorbeugung:

eine perfekte Mundhygiene

Regelmässige Untersuchungen beim Zahnarzt einschliesslich halbjährlicher PZR (professionelle Zahnreinigung)

Vermeidung der Risikofaktoren


Therapie:


1. Parodontitis-Vorbehandlung

2. Reinigung aller erkrankten Zahnfleischtaschen

3. Regelmäßige Nachsorgen im Sinne einer Unterstützenden Parodontitis-Therapie (UPT).


Die systematische Parodontitis-Therapie durch Reinigung der Zahnfleischtaschen sorgt für eine starke Reduktion der Bakterienanzahl in der Mundhöhle und entzündungsfreies Zahnfleisch!


Eine Parodontitis kann ein Risikofaktor für die Entstehung von Herzinfarkt, Herzklappenentzündung, Lungenentzündung und Diabetes mellitus sein.

Außerdem kann es zu Komplikationen in der Schwangerschaft führen!

Kinder - Prophylaxe und - Behandlung


Durch regelmäßige Kindergartenbesuche und Teilnahmen an Fortbildungen u. a. der LAGZ sind wir bestens darauf vorbereitet, Ihre Kinder so angenehm, wie möglich zu behandeln! 


Auch die Kleinsten sind bei uns herzlich willkommen!


Wir wollen lachende Kinder mit gesunden Zähnen!

Was sind Zahnimplantate?


Implantate sind Titan-“Schrauben“. Diese ersetzen verloren gegangene Zähne.


Um ein oder mehrere Zahnimplantate zu setzen, bedarf es einer Operation.

Diese wird von einem Implantatspezialisten in einem ambulanten Eingriff durchgeführt.

Hierzu ist lediglich eine örtliche Betäubung (lokale Anästhesie) nötig.


Immer, wenn festsitzender Zahnersatz gewünscht wird und keine gesunden Zähne beschliffen (präpariert) werden sollen, sind Implantate eine Alternative.

Auch kann eine herausnehmbare Prothese im völlig zahnlosen Kiefer befestigt werden.


Zahnimplantate ermöglichen einen stabilen Zahnersatz für viele Jahre!

Kiefergelenks-Untersuchung oder „Manuelle Strukturanalyse - MSA“


Bei Beschwerden oder Schmerzen im Bereich eines oder beider Kiefergelenke wird eine Untersuchung nötig.


Durch spezielle Handgriffe kann man herausfinden, welcher Teil des Kiefergelenkes für die Beschwerden verantwortlich ist. Danach wird eine angemessene Therapie ausgewählt.


Durch die MSA werden nicht nur Schmerzfälle diagnostiziert. Auch vor Anfertigung von neuem Zahnersatz oder vor einer kieferorthopädischen Behandlung bei Kindern und Jugendlichen kann eine Untersuchung der Kiefergelenke sinnvoll sein.

Endodontie / Wurzelkanalbehandlung mit Dental-Mikroskop

Eine Wurzelkanalbehandlung (endodontische Behandlung) wird nötig, wenn durch eine Karies oder ein Trauma (abgebrochener Zahn durch einen Unfall) die Entzündung und meistens auch Infektion der Pulpa (Zahnmark, nervenund Blutgefässe) entsteht.


Jetzt muss das erkrankte Gewebe entfernt und die dann hohlen Kanäle der Wurzel wieder aufgefüllt werden.


Besteht an einem bereits wurzelbehandelten Zahn eine erneute Entzündung, kann der Zahn durch die Erneuerung der Wurzelkanalfüllung oft erhalten werden!

Der beste Zahn ist der Eigene!


Warum braucht man eine Wurzelkanalbehandlung mittels Dental-Mikroskop bei einem spezialisierten Zahnarzt? 


1. unter bis zu 20-facher Vergrösserung lassen sich Hindernisse wie Verkalkungen, abgebrochene Instrumente oder Stifte beseitigen!


2. hierzu ist ein sehr spezielles Instrumentarium nötig!


3. eine dreidimensionale Wurzelfüllung von stark gebogenen Wurzeln ist möglich!


4. bereits wurzelgefüllte Zähne sind oft ohne chirurgischen Eingriff erhaltbar!

Kompositfüllungen in Mehrschichttechnik

Systematische Parodontitis Therapie

⬆︎

Kinderbehandlung

Implantat getragener Zahnersatz

Kiefergelenksuntersuchung

Diese Website verwendet Cookies. Bitte lesen Sie unsere Datenschutzerklärung für Details.

OK